$url= basename($_SERVER['REQUEST_URI']); ?>
![]() |
![]() |
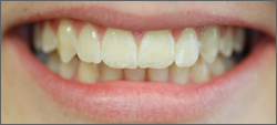
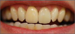
After use of composite filling on upper left central incisor |
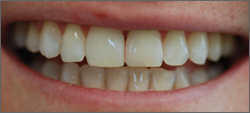
| After treatment with veneers on four upper incisor teeth | ![]() |
![]() |
![]() |
![]() |
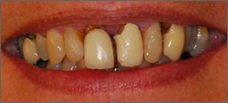
After replacement of crowns on upper central incisors and left canine |
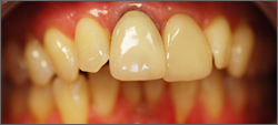
| After braces and crown on upper right central incisor | ![]() |
![]() |
![]() |
![]() |
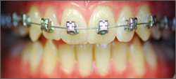
After braces - orthodontic treatment |
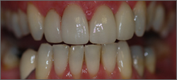
| After treatment with crowns on six upper front teeth | ![]() |
![]() |